切换至 "中华医学电子期刊资源库"

中华腔镜外科杂志(电子版) ›› 2025, Vol. 18 ›› Issue (05) : 305 -307. doi: 10.3877/cma.j.issn.1674-6899.2025.05.009

临床技术

剖宫产术后腹壁疤痕肌层侵袭性纤维瘤
鄢潇, 胡启明, 黄骁昊()   
  1. 210036 南京医科大学第一附属医院妇科
  • 收稿日期:2025-06-08 出版日期:2025-10-30
  • 通信作者: 黄骁昊

A case of abdominal wall scar aggressive fibromatosis treated via single-port laparoscopic resection

Xiao Yan, Qiming Hu, Xiaohao Huang()   

  1. Gynecology Department of The First Affiliated Hospital of Nanjing Medical University, 210036, China
  • Received:2025-06-08 Published:2025-10-30
  • Corresponding author: Xiaohao Huang
引用本文:

鄢潇, 胡启明, 黄骁昊. 剖宫产术后腹壁疤痕肌层侵袭性纤维瘤[J/OL]. 中华腔镜外科杂志(电子版), 2025, 18(05): 305-307.

Xiao Yan, Qiming Hu, Xiaohao Huang. A case of abdominal wall scar aggressive fibromatosis treated via single-port laparoscopic resection[J/OL]. Chinese Journal of Laparoscopic Surgery(Electronic Edition), 2025, 18(05): 305-307.

目的

探讨侵袭性纤维瘤病的临床表现、影像学特征和治疗方法及预后,以提高对该病的认识并为该病的临床诊治提供参考。

方法

报道1例术前被误诊为腹壁子宫内膜异位症的腹壁侵袭性纤维瘤患者的诊疗过程,并复习相关文献。

结果

手术切除肿块及肿块周围组织,并予补片修补缺损组织,术后病理提示梭形细胞病变,结合免疫组化符合侵袭性纤维瘤病,未行后续治疗,随访3月未见复发。

结论

侵袭性纤维瘤病为发病机制不明确的交界性肿瘤,具有复发率高、局部侵袭性强等特点,由于其发病率较低,目前尚无针对该病的诊疗规范,无症状患者可观察等待,其余患者可选择以手术为主的综合治疗。

Objective

To explore the clinical manifestations, imaging characteristics, minimally invasive surgical treatment, and prognosis of aggressive fibromatosis (AF), aiming to enhance the understanding of the disease and provide a reference for its clinical diagnosis and management.

Methods

A case initially diagnosed preoperatively as abdominal wall endometriosis following cesarean section was reported. The patient underwent single-port laparoscopic resection, and postoperative pathology confirmed a diagnosis of abdominal wall AF. A literature review was conducted to support the discussion.

Results

The mass and surrounding tissue were excised via single-port laparoscopy, and a mesh was used to repair the resulting tissue defect. Postoperative pathology revealed a spindle cell lesion, and immunohistochemical analysis confirmed the diagnosis of AF. No adjuvant therapy was administered, and no recurrence was observed during a 3-month follow-up period.

Conclusion

Aggressive fibromatosis is a borderline tumor with an unclear pathogenesis, characterized by high recurrence rates and strong local invasiveness. Due to its low incidence, there are currently no standardized diagnostic or treatment protocols. While open surgical resection remains the primary treatment approach, this case demonstrated that single-port laparoscopic resection can also achieve satisfactory therapeutic outcomes.

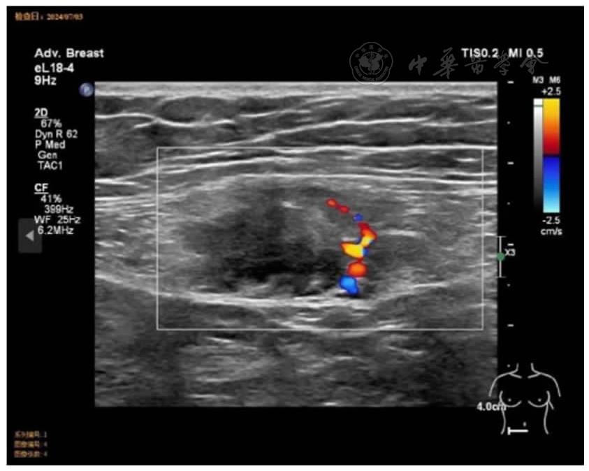
图1 腹壁病灶在超声下表现
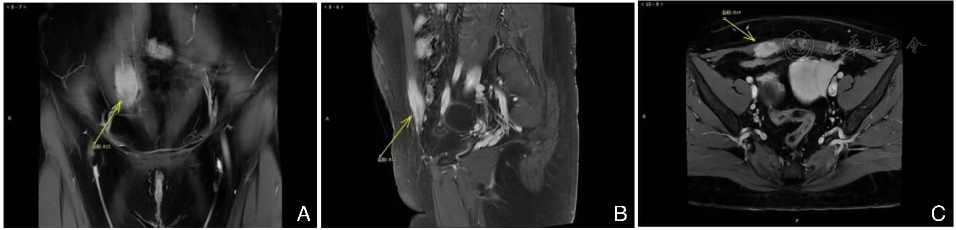
图2 腹壁病灶在盆腔MRI表现注:A.T1冠状位;B.T1矢状位;C.T2轴位
1
张磊,孟洁,韩友东,等. 浅表软组织侵袭性纤维瘤病的超声诊断分析[J].中国临床医学影像杂志2021, 32(3): 199-202.
2
王丽娜,李天云,李振武. 韧带样纤维瘤病的MRI表现与病理对照分析[J]. 医疗卫生装备2020, 41(2):60-64.
3
马金山,顾翔. CT和MRI对肌肉中硬纤维瘤的影像分析及鉴别[J]. 中国现代医学杂志2019, 29(19):120-124.
4
杨君丽,刘瑶,翟星玥. 腹壁侵袭性纤维瘤病1例并文献复习[J]. 辽宁医学杂志202236(4):108-111.
5
Roussin S, Mazouni C, Rimareix F, et al. Toward a new strategy in desmoid of the breast?[J]. Eur J Surg Oncol, 2015, 41(4): 571-576.
6
Devata S, Chugh R. Desmoid tumors: a comprehensive review of the evolving biology. unpredictable behavior, and myriad of management options[J]. Hematol Oncol Clin North Am, 2013, 27(5):988-1005.
7
Turner B, Alghamdi M, Henning JW, et al. Surgical excision versus observation as initial management of desmoid tumors: A population based study[J]. Eur J Surg Oncol, 2019, 45(4): 699-703.
8
王景超,向甫. 腹腔镜下腹壁侵袭性纤维瘤根治性切除加一期腹壁重建修复1例报告[J].腹腔镜外科杂志2022, 27(6):477-479.
9
Mullen JT, Delaney TF, Kobayashi WK, et al. Desmoid tumor: analysis of prognostic factors and outcomes in a surgical series[J]. Ann Surg Oncol, 2012, 19(13): 4028-4035.
10
Bonvalot S, Tzanis D, Bouhadiba T. Desmoid tumors: Are there still any surgical indications?[J]. Bull Cancer, 2020, 107(3):364-370.
11
He XD, Zhang YB, Wang L, et al. Prognostic factors for the recurrence of sporadic desmoid-type fibromatosis after macroscopically complete resection: Analysis of 114 patients at a single institution[J]. Eur J Surg Oncol, 2015, 41(8):1013-1019.
12
Harati K, Jaenisch A, Behr B, et al. Effect of surgical margins on prognosis in aggressive fibromatosis: A single-institutional analysis of 90 patients[J]. Oncol Lett, 2017, 14(5):5129-5134.
13
He XD, Zhang YB, Wang L, et al. Prognostic factors for the recurrence of sporadic desmoid-type fibromatosis after macroscopically complete resection: analysis of 114 patients at a single institution[J]. Eur J Surg Oncol, 2015, 41(8):1013-1019.
14
Phillips SR, A′Hern R, Thomas JM. Aggressive fibromatosis of the abdominal wall, limbs and limb girdles[J]. Br J Surg, 2004, 91(12):1624-1629.
15
Gronchi A, Casali PG, Mariani L, et al. Quality of surgery and outcome in ex tra-abdominal agg ressive fibromatosis: a series of patients surgically treated at a single institution[J]. J Clin Oncol, 2003, 21(7):1390-1397.
16
Penel N, Le Cesne A, Bonvalot S, et al. Surgical versus non-surgical approach in primary desmoid-type fibromatosis patients: a nationwide prospective cohort from the French Sarcoma Group[J]. Eur J Cancer, 2017, 83:125-131.
17
Kasper B, Dimitrakopoulou-Strauss A, Pilz LR, et al. Positron emission tomography as a surrogate marker for evaluation of treatment response in patients with desmoid tumors under therapy with imatinib[J]. Biomed Res Int, 2013: 389672.
[1] 中国研究型医院学会机器人与腹腔镜外科专业委员会, 《中华消化外科杂志》编辑委员会. 完全单孔腹腔镜胃癌手术操作专家共识(2025版)[J/OL]. 中华普通外科学文献(电子版), 2025, 19(04): 217-224.
[2] 欧阳骏骏, 蔡宝, 徐冰. 经脐单孔及常规腹腔镜阑尾切除术对阑尾炎患儿的影响[J/OL]. 中华普外科手术学杂志(电子版), 2025, 19(05): 566-569.
[3] 李凯, 母德安, 陈淋, 张志远, 张伟. 超微创钳辅助经脐单孔腹腔镜肝右前叶切除[J/OL]. 中华普外科手术学杂志(电子版), 2025, 19(04): 367-367.
[4] 母德安, 张志远, 张伟. 提线木偶单孔腹腔镜下胆囊切除[J/OL]. 中华普外科手术学杂志(电子版), 2025, 19(03): 246-246.
[5] 母德安, 李凯, 张志远, 张伟. 超微创器械辅助单孔腹腔镜下脾部分切除术[J/OL]. 中华普外科手术学杂志(电子版), 2025, 19(01): 14-14.
[6] 魏勇, 李凯, 沈百欣, 林建中, 沈露明, 刘威, 杨昕, 胡海斌, 朱清毅. 完整保留膀胱颈技术在经腹膜外入路单孔腹腔镜前列腺根治性切除术中的临床疗效[J/OL]. 中华腔镜泌尿外科杂志(电子版), 2025, 19(04): 447-453.
[7] 庞名扬, 魏勇, 刘威, 胡海斌, 杨健, 蒋荣江, 朱清毅, 沈露明. 经腹膜后途径单孔与多孔腹腔镜肾部分切除术治疗肾肿瘤的比较[J/OL]. 中华腔镜泌尿外科杂志(电子版), 2025, 19(03): 335-339.
[8] 高金伟, 张琪, 王泽升, 成晓舟, 张宇鹏, 王小虎, 曹维嘉, 屈坤鹏. 单孔腹腔镜完全腹膜外疝修补术中应用不同材质补片的疗效对比[J/OL]. 中华疝和腹壁外科杂志(电子版), 2025, 19(03): 281-285.
[9] 蒋嫒, 缪妙, 陈继明. 经腹壁瘢痕入路妇科单孔腹腔镜手术的理念创建与临床应用[J/OL]. 中华腔镜外科杂志(电子版), 2025, 18(05): 271-275.
[10] 胡启明, 宋佳成, 孙莹, 黄骁昊. 单孔腹腔镜切除AWE及补片修复术的临床应用评估[J/OL]. 中华腔镜外科杂志(电子版), 2025, 18(04): 215-221.
[11] 周树林, 罗成燕, 袁琳, 姜旖, 邱江南, 吴姗, 刘锦辉, 程文俊. 子宫内膜癌经脐单孔腹膜外路径淋巴结切除术中腹膜后腔的建立[J/OL]. 中华腔镜外科杂志(电子版), 2025, 18(01): 44-47.
[12] 吴玥琳, 石巍, 李飞燕, 靳冬冬, 薛阳, 贾梦玲, 阴倩阁, 杨立. 经脐单孔与传统腹腔镜治疗输卵管妊娠的疗效及生育结局对比研究[J/OL]. 中华腔镜外科杂志(电子版), 2025, 18(01): 55-61.
[13] 费振浩, 邱章华, 孙志为, 王峻峰, 陈业盛, 唐建中. 经脐单孔腹腔镜胆囊切除术联合脐疝修补术经验分享[J/OL]. 中华肝脏外科手术学电子杂志, 2025, 14(02): 270-273.
[14] 赵发宽, 向岩帕保, 杨家成, 梁伟纲, 张金源. 单孔+1腹腔镜下左半结肠癌根治术一例(附视频)[J/OL]. 中华结直肠疾病电子杂志, 2025, 14(04): 380-384.
[15] 谢礼锋, 贾静, 陈琦玮, 柳燕, 李新宇. 定锚法脐部整形缝合技术在经脐单孔腹腔镜减重手术中的应用[J/OL]. 中华肥胖与代谢病电子杂志, 2025, 11(02): 92-99.
阅读次数
全文


摘要


AI


AI小编
你好!我是《中华医学电子期刊资源库》AI小编,有什么可以帮您的吗?