切换至 "中华医学电子期刊资源库"

中华腔镜外科杂志(电子版) ›› 2025, Vol. 18 ›› Issue (05) : 301 -304. doi: 10.3877/cma.j.issn.1674-6899.2025.05.008

临床技术

非插管单孔胸腔镜经剑突纵隔肿瘤切除的临床应用分析
瞿冀琛1,2, 蒋雷3,()   
  1. 1735000 上海市第一人民医院酒泉医院胸外科
    2200400 上海交通大学医学院附属上海市第一人民医院胸外科
    3200433 同济大学附属上海市肺科医院胸外科
  • 收稿日期:2025-09-23 出版日期:2025-10-30
  • 通信作者: 蒋雷
  • 基金资助:
    上海市卫健委卫生行业临床研究专项资助(201840175); 酒泉市科技计划项目资助(2023MA3055;2025MB3065)

Clinical application analysis of non-intubated uniportal video-assisted thoracic surgery for subxiphoid resection of mediastinal tumors

Jichen Qu1,2, Lei Jiang3,()   

  1. 1Department of Thoracic surgery, Shanghai General Hospital Jiuquan Hospital, 735000, China
    2Department of Thoracic surgery, Shanghai General Hospital, Shanghai Jiao Tong University School of Medicine, 200400, China
    3Thoracic Surgery Department, Shanghai Pulmonary Hospital, Tongji University, 200433, China
  • Received:2025-09-23 Published:2025-10-30
  • Corresponding author: Lei Jiang
引用本文:

瞿冀琛, 蒋雷. 非插管单孔胸腔镜经剑突纵隔肿瘤切除的临床应用分析[J/OL]. 中华腔镜外科杂志(电子版), 2025, 18(05): 301-304.

Jichen Qu, Lei Jiang. Clinical application analysis of non-intubated uniportal video-assisted thoracic surgery for subxiphoid resection of mediastinal tumors[J/OL]. Chinese Journal of Laparoscopic Surgery(Electronic Edition), 2025, 18(05): 301-304.

目的

探讨非插管单孔胸腔镜(non-intubated uniportal video-assisted thoracic surgery,NI UVATS)经剑突纵隔肿瘤切除术的可行性,并归纳其手术技巧及临床疗效。

方法

回顾性分析2019年3月至2023年7月期间,由上海肺科医院胸外科同一手术团队实施的20例NI UVATS经剑突纵隔肿瘤切除患者的临床资料,其中包括胸腺囊肿11例、胸腺瘤7例、胸腺癌1例以及淋巴源增生1例。

结果

20例手术均顺利实现根治性切除,无一例需中转开胸。平均手术时间为66.00±26.83 min。术后当日引流量平均值为265(115,435)ml,患者术后平均住院时间为2.85±1.27 d。在7例胸腺瘤患者中,1例接受了术后放疗,术后3年随访未见转移或复发;另1例胸腺癌患者则接受了术后化疗与放疗,同样在3年随访期内未出现转移复发。术后平均随访时间为28.5±10.7个月,期间无一例死亡。

结论

在经验丰富的单孔胸腔镜外科医师与麻醉医师紧密配合下,对经过严格筛选的病例施行NI UVATS经剑突纵隔肿瘤切除术,具有明确的临床可行性。

Objective

To explore the feasibility of non-intubated uniportal video-assisted thoracic surgery (NI UVATS) for the resection of mediastinal tumors via a subxiphoid approach, and to summarize the surgical techniques and clinical outcomes.

Methods

A retrospective analysis was conducted on the medical records of 20 patients who underwent NI UVATS for subxiphoid resection of mediastinal tumors by the same surgical team in the Department of Thoracic Surgery at Shanghai Pulmonary Hospital between Mar. 2019 and Jul. 2023. The pathological diagnoses included 11 cases of thymic cyst, 7 cases of thymoma, 1 case of thymic carcinoma, and 1 case of lymphoid hyperplasia.

Results

All 20 procedures were successfully completed with radical resection, and no cases required conversion to open thoracotomy. The mean operative time was 66.00 ± 26.83 minutes. The mean drainage volume on the day of surgery was 265 (115, 435) ml, and the mean postoperative hospital stay was 2.85 ± 1.27 days. Among the 7 patients diagnosed with thymoma, one received postoperative radiotherapy and showed no metastasis or recurrence at the 3-year follow-up. The one patient diagnosed with thymic carcinoma received postoperative chemotherapy and radiotherapy, with no metastasis or recurrence observed at the 3-year follow-up. The mean postoperative follow-up duration was 28.5 ± 10.7 months, with a mortality rate of 0% during this period.

Conclusion

For carefully selected patients, NI UVATS for subxiphoid resection of mediastinal tumors is feasible when performed by an experienced uniportal VATS surgeon in close collaboration with an anesthesiologist.

表1 20例患者的一般情况
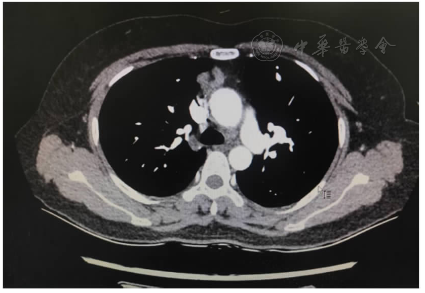
图1 术前CT提示纵隔肿瘤,考虑胸腺瘤可能
图2 非插管剑突下单孔胸腔镜纵隔肿瘤切除术时,剑突下切口器械摆放及拉钩设置
表2 20例非插管剑突下单孔胸腔镜纵隔肿瘤切除术患者的术中及术后特点
1
Lewis RJ, Caccavale RJ, Sisler GE. Special report: video-endoscopic thoracic surgery[J]. N J Med, 1991, 88(7):473-475.
2
Pompeo E, Mineo D, Rogliani P, et al. Feasibility and results of awake thoracoscopic resection of solitary pulmonary nodules[J]. Ann Thorac Surg, 2004, 78(5):1761-1768.
3
Nezu K, Kushibe K, Tojo T, et al. Thoracoscopic wedge resection of blebs under local anesthesia with sedation for treatment of a spontaneous pneumothorax[J]. Chest, 1997, 111(1):230-235.
4
瞿冀琛,蒋雷. 非插管单孔胸腔镜袖式肺叶切除术的临床应用分析[J/OL]. 中华腔镜外科杂志(电子版)202518(2):115-120.
5
Wu L, Lin L, Liu M, et al. Subxiphoid uniportal thoracoscopic extended thymectomy[J]. J Thorac Dis, 2015, 7(9):1658-1660.
6
张鑫,郭志华,李京沛,等. 非气管内插管自主呼吸麻醉下电视胸腔镜手术治疗纵隔肿瘤62例临床分析[J]. 中国医学创新201714(22):1-5.
7
王继云,邹伟,李婷,等. 喉罩全麻胸腔镜下纵隔肿瘤切除的临床应用[J]. 中国内镜杂志2016, 22(3):63-67.
[1] 曾涛, 王波, 任王胜, 王大春, 吴先余. 剑突下与肋间单孔充气胸腔镜手术治疗双侧肺大泡的临床分析[J/OL]. 中华肺部疾病杂志(电子版), 2022, 15(06): 890-892.
[2] 瞿冀琛, 蒋雷. 非插管单孔胸腔镜袖式肺叶切除术的临床应用分析[J/OL]. 中华腔镜外科杂志(电子版), 2025, 18(02): 115-120.
[3] 陈家军, 张文天, 陈坤, 瞿冀琛, 朱余明, 蒋雷. 不插管单孔剑突下胸腔镜右全肺切除术一例[J/OL]. 中华腔镜外科杂志(电子版), 2022, 15(02): 117-119.
[4] 郭俊唐, 王彬, 申磊磊, 梁朝阳, 刘阳. 胸腔镜前纵隔肿物切除术两种入路方式的对比分析[J/OL]. 中华腔镜外科杂志(电子版), 2021, 14(04): 221-225.
[5] 莫安胜, 关汉斌, 冯志强, 王蕊蕊, 覃明慧. 剑突及肋弓下三切口胸腔镜手术技术及改进[J/OL]. 中华腔镜外科杂志(电子版), 2021, 14(03): 187-192.
[6] 陈志刚, 施佳敏, 施哲, 蔡剑桥, 朱余明, 戴丽华, 吕欣, 蒋雷. 不插管麻醉在剑突下单孔胸腔镜手术中的临床实践[J/OL]. 中华腔镜外科杂志(电子版), 2020, 13(06): 342-346.
[7] 蒋雷. 剑突下单孔胸腔镜右肺上叶前段切除术[J/OL]. 中华腔镜外科杂志(电子版), 2020, 13(01): 0-0.
[8] 苏永超, 黎振龙. 不同入路单孔胸腔镜胸腺扩大切除术围手术期的效果对比:倾向性评分匹配研究[J/OL]. 中华胸部外科电子杂志, 2025, 12(03): 130-135.
[9] 中国食管疾病学会, 广东省胸部疾病学会. 非插管麻醉下食管癌根治术(McKeown)的专家指导意见(2025)[J/OL]. 中华胸部外科电子杂志, 2025, 12(03): 119-129.
[10] 莫安胜, 王国正, 宾能康, 郑昌泽. 剑突下入路胸腔镜纵隔手术技术及其进展[J/OL]. 中华胸部外科电子杂志, 2024, 11(02): 130-142.
[11] 朱智军, 巫金龙, 倪达, 滕继平, 梁翔, 纪浩然, 李好, 管欣, 杨志胤, 王明松. 胸骨拉钩辅助剑突下单孔胸腔镜在前纵隔肿瘤手术中的应用[J/OL]. 中华胸部外科电子杂志, 2023, 10(01): 22-28.
[12] 张含露, 王福强, 邱光昊, 王旭阳, 李之阳, 彭磊, 王子豪, 王允. 机器人辅助经剑突下全胸腺及异位胸腺切除的技术要点及外科治疗效果[J/OL]. 中华胸部外科电子杂志, 2022, 09(04): 223-229.
[13] 刘博豪, 王泓懿, 范坤, 赵恒, 李益行, 陶润仪, 王芝馀, 温小鹏, 付军科, 张佳, 张广健. 单拉钩胸骨悬吊法在前纵隔肿瘤患者中的应用[J/OL]. 中华胸部外科电子杂志, 2021, 08(01): 6-11.
[14] 梁宝磊, 魏豪, 徐琳霞, 石珂, 邵长海, 柯希贤, 蔡庆勇. 剑突下单孔胸腔镜与双侧单孔胸腔镜治疗手汗症对比研究[J/OL]. 中华胸部外科电子杂志, 2019, 06(03): 161-165.
[15] 俞秋华, 姜敏炎, 吕亚军, 黄骏, 朱小波, 蒋锋, 王强. 剑突下胸腔镜前纵隔肿瘤切除术初步应用分析[J/OL]. 中华胸部外科电子杂志, 2019, 06(03): 152-155.
阅读次数
全文


摘要


AI


AI小编
你好!我是《中华医学电子期刊资源库》AI小编,有什么可以帮您的吗?