Home    中文  
 
  • Search
  • lucene Search
  • Citation
  • Fig/Tab
  • Adv Search
Just Accepted  |  Current Issue  |  Archive  |  Featured Articles  |  Most Read  |  Most Download  |  Most Cited

Chinese Journal of Laparoscopic Surgery(Electronic Edition) ›› 2025, Vol. 18 ›› Issue (04): 234-237. doi: 10.3877/cma.j.issn.1674-6899.2025.04.008

• Clinical Technology • Previous Articles    

Laennec approach via Glissonian sheath dissection combined with dorsal approach for extended left hemihepatectomy

Chaobo Chen1,2, Shengnuo Chen1, Chunlong Zhao1, Fengjun Cai1, Genxi Tong1, Decai Yu2,()   

  1. 1Department of General Surgery, Xishan People′s Hospital of Wuxi City, 214105, China
    2Department of Hepatobiliary and Liver Transplantation Surgery, Drum Tower Hospital Affiliated to Nanjing University School of Medicine, 210008, China
  • Received:2025-04-21 Online:2025-08-30 Published:2025-09-30
  • Contact: Decai Yu

Abstract:

Objective

By reviewing the diagnostic and therapeutic process of laparoscopic surgery for patients with primary intrahepatic cholangiocarcinoma (ICC) in our center, this study summarizes and discusses minimally invasive techniques combining Glissonian sheath anatomical dissection with a dorsal approach for ICC treatment.

Methods

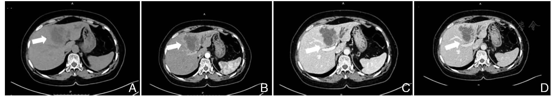
A patient admitted to the Hepatobiliary Surgery Department of Wuxi Xishan People′s Hospital in Mar. 2025 with cholecystolithiasis and acute cholecystitis was subsequently found to have a left hepatic lobe mass adjacent to the portal fissure (sagittal part). Clinical diagnosis confirmed ICC, cholecystolithiasis, and acute cholecystitis. After systematic evaluations including cardiopulmonary function, hepatic functional reserve, and tumor staging, a laparoscopic surgical strategy was formulated.

Results

The patient successfully underwent an enlarged left hemihepatectomy via the Laennec approach (laparoscopic intra-glissonian anatomical dorsal approach) combined with hepatic hilar lymph node dissection and cholecystectomy. The procedure was performed with minimal intraoperative blood loss. No postoperative complications such as infection, hemorrhage, bile leakage, or portal vein thrombosis occurred, and the patient recovered smoothly. The postoperative pathological diagnosis confirmed ICC.

Conclusion

Surgery is the most effective strategy for treating ICC. In cases where the tumor is adjacent to the sagittal section of the hepatic portal, the Laennec approach (intra-glissonian dissection) combined with a dorsal approach for hepatectomy can be employed following a systematic and comprehensive preoperative evaluation. This combined approach ensures adequate surgical margins, minimizes intraoperative bleeding, and ultimately improves patient outcomes.

Key words: Cholangiocarcinoma, Intra-Glissonian dissection, Dorsal approach, Laparoscopic anatomical liver resection

京ICP 备07035254号-20
Copyright © Chinese Journal of Laparoscopic Surgery(Electronic Edition), All Rights Reserved.
Tel: 01066937562 E-mail: zhonghuaqiangjing@126.com
Powered by Beijing Magtech Co. Ltd