切换至 "中华医学电子期刊资源库"

中华腔镜外科杂志(电子版) ›› 2025, Vol. 18 ›› Issue (06) : 374 -378. doi: 10.3877/cma.j.issn.1674-6899.2025.06.009

临床技术

Laennec入路联合背侧入路腹腔镜手术治疗肝纤维板层癌
陈超波1,2, 蔡凤军1, 陈胜诺1, 赵春龙1, 佟根喜1, 余德才2,()   
  1. 1214105 江苏省无锡市锡山人民医院普外科
    2210008 南京大学医学院附属鼓楼医院肝胆与肝移植外科
  • 收稿日期:2025-08-04 出版日期:2025-12-30
  • 通信作者: 余德才
  • 基金资助:
    国家自然科学基金(82372834, 82173129); 南京鼓楼医院临床研究专项资金面上项目(2021-LCYJMS-12); 无锡市卫生健康委中青年拔尖人才资助计划(HB2023116)

Laennec approach combined with dorsal approach for laparoscopic treatment of fibrolamellar hepatocellular carcinoma

Chaobo Chen1,2, Fengjun Cai1, Shengnuo Chen1, Chunlong Zhao1, Genxi Tong1, Decai Yu2,()   

  1. 1Department of General Surgery, Xishan People′s Hospital of Wuxi City, 214105, China
    2Department of Hepatobiliary and Liver Transplantation Surgery, Drum Tower Hospital Affiliated to Nanjing University School of Medicine, 210008, China
  • Received:2025-08-04 Published:2025-12-30
  • Corresponding author: Decai Yu
引用本文:

陈超波, 蔡凤军, 陈胜诺, 赵春龙, 佟根喜, 余德才. Laennec入路联合背侧入路腹腔镜手术治疗肝纤维板层癌[J/OL]. 中华腔镜外科杂志(电子版), 2025, 18(06): 374-378.

Chaobo Chen, Fengjun Cai, Shengnuo Chen, Chunlong Zhao, Genxi Tong, Decai Yu. Laennec approach combined with dorsal approach for laparoscopic treatment of fibrolamellar hepatocellular carcinoma[J/OL]. Chinese Journal of Laparoscopic Surgery(Electronic Edition), 2025, 18(06): 374-378.

目的

通过回顾本中心原发性肝纤维板层癌的患儿腹腔镜手术的诊疗过程,总结并讨论Laennec入路联合背侧入路治疗肝纤维板层癌的微创技术经验。

方法

2025年3月无锡市锡山人民医院肝胆外科收治的1例12岁肝占位患儿,临床诊断为肝纤维板层癌,通过术前充分评估,制定腹腔镜手术治疗策略。

结果

患者顺利接受Laennec入路腹腔镜下鞘内解剖联合背侧入路行左半肝切除+肝门淋巴结清扫+胆囊切除术,术中出血少,术后无感染、出血、胆漏、门静脉血栓等并发症,恢复顺利,术后病理结果为肝纤维板层癌。

结论

手术是治疗肝纤维板层癌唯一有效策略,肿瘤紧邻肝门矢状部的情况,在经过系统、全面的术前评估后,可以采用Laennec入路鞘内解剖联合背侧入路进行腹腔镜肝切除,保证手术切缘并减少出血,提高手术安全性,使患者获益。

Objective

By reviewing the diagnosis and treatment process of a pediatric patient with primary fibrolamellar hepatocellular carcinoma (FLC) who underwent laparoscopic surgery at our center, we summarize and discuss the technical experience of combining Laennec approach with dorsal approach in minimally invasive management of FLC.

Methods

Based on a 12-year-old pediatric patient with a hepatic space-occupying lesion admitted to the Department of Hepatobiliary Surgery at Wuxi Xishan People′s Hospital in Mar. 2025, who was clinically diagnosed with FLC, a laparoscopic surgical strategy was formulated after thorough preoperative evaluation.

Results

The patient successfully underwent laparoscopic left hemihepatectomy via the Laennec approach (intracapsular dissection) combined with a dorsal approach, along with hilar lymph node dissection and cholecystectomy. The procedure was associated with minimal intraoperative blood loss. Postoperatively, there were no complications such as infection, hemorrhage, bile leakage, or portal vein thrombosis. The patient recovered smoothly. Pathological examination confirmed the diagnosis of FLC.

Conclusion

Surgery remains the only effective strategy for treating FLC. For tumors adjacent to the sagittal portion of the hepatic hilum, a laparoscopic hepatectomy utilizing the Laennec approach (intracapsular dissection) combined with a dorsal approach could be adopted after systematic and comprehensive preoperative evaluation. This strategy ensures adequate surgical margins, reduces intraoperative bleeding, enhances procedural safety, and ultimately benefits the patient.

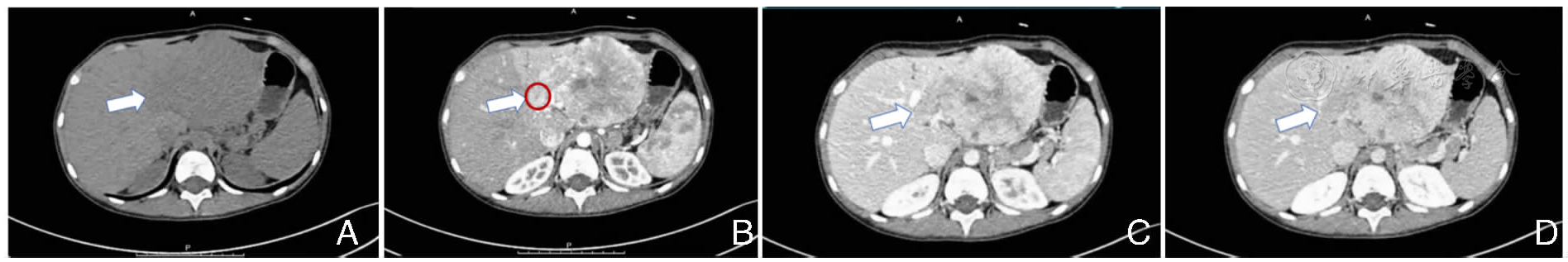
图1 腹部增强CT注:A.平扫可见肝左内叶团块低密度灶;B.动脉早期见肿瘤不均质强化,中央放射状低密度影;可见左肝管癌栓(红色圈);C.门静脉期见肿瘤强化减退,中央区放射状低密度影;D.门静脉延迟期肿瘤呈轻度强化,中央区放射状低密度影
图2 Laennec入路联合背侧入路左半肝切除关键点和面注:A.鞘内解剖显露肝左动脉;B.鞘内解剖、Laennec入路显露门静脉左侧支;C.鞘内解剖、Laennec入路显露左肝管癌栓,离断并切缘快速病理检测;D.尾状叶指引、Laennec入路显露肝中静脉根部,确认背侧入路肝实质离断平面;E.S4a段肝蒂显露确认腹侧肝实质平面;F.腹侧、背侧入路汇合,显露肝实质离断平面,Laennec入路显露肝左静脉根部汇入点
1
Craig JR, Peters RL, Edmondson HA, et al. Fibrolamellar carcinoma of the liver: a tumor of adolescents and young adults with distinctive clinico-pathologic features[J]. Cancer, 1980, 46(2):372-379.
2
Ross HM, Daniel HD, Vivekanandan P, et al. Fibrolamellar carcinomas are positive for CD68[J]. Mod Pathol, 2011, 24(3):390-395.
3
Eggert T, McGlynn KA, Duffy A, et al. Fibrolamellar hepatocellular carcinoma in the USA, 2000-2010: a detailed report on frequency, treatment and outcome based on the Surveillance, Epidemiology, and End Results database[J]. United European Gastroenterol J, 2013, 1(5):351-357.
4
Ramai D, Ofosu A, Lai JK,et al. Fibrolamellar hepatocellular carcinoma: a population-based observational study[J]. Dig Dis Sci, 2021, 66(1):308-314.
5
Mayo SC, Mavros MN, Nathan H, et al. Treatment and prognosis of patients with fibrolamellar hepatocellular carcinoma: a national perspective[J]. J Am Coll Surg, 2014, 218(2):196-205.
6
Edmondson HA. Differential diagnosis of tumors and tumor-like lesions of liver in infancy and childhood[J]. AMA J Dis Child, 1956, 91(2):168-186.
7
Wege H, Schulze K, von Felden J, et al. Rare variants of primary liver cancer: fibrolamellar, combined, and sarcomatoid hepatocellular carcinomas[J]. Eur J Med Genet, 2021, 64(11):104313.
8
Depauw L, De Weerdt G, Gys B, et al. Pediatric fibrolamellar hepatocellular carcinoma: case report and review of the literature[J]. Acta Chir Belg, 2021, 121(3):204-210.
9
Torbenson M. Fibrolamellar carcinoma: 2012 update[J]. Scientifica (Cairo), 2012:743790.
10
Graham RP. Fibrolamellar carcinoma: what is new and why it matters[J]. Surg Pathol Clin, 2018, 11(2):377-387.
11
O′Neill AF, Church AJ, Perez-Atayde AR, et al. Fibrolamellar carcinoma: an entity all its own[J]. Curr Probl Cancer, 2021, 45(4):100770.
12
Abdelhamed W, El-Kassas M. Fibrolamellar hepatocellular carcinoma: a rare but unpleasant event[J]. World J Gastrointest Oncol, 2022, 14(6):1103-1114.
13
Chakrabarti S, Tella SH, Kommalapati A, et al. Clinicopathological features and outcomes of fibrolamellar hepatocellular carcinoma[J]. J Gastrointest Oncol, 2019, 10(3):554-561.
14
Aziz H, Brown ZJ, Panid Madani S, et al. Fibrolamellar hepatocellular carcinoma: comprehensive review of diagnosis, imaging, and management[J]. J Am Coll Surg, 2023, 236(2):399-410.
15
Wege H, Campani C, de Kleine R, et al. Rare primary liver cancers: an EASL position paper[J]. J Hepatol, 2024, S0168-8278(24)02305-5.
16
Sergi CM. Hepatocellular carcinoma, fibrolamellar variant: diagnostic pathologic criteria and molecular pathology update. A primer[J]. Diagnostics (Basel), 2015, 6(1):3.
17
梁霄,梁岳龙,吕杰敏,等. 腹腔镜ⅶ、ⅷ段肝肿瘤切除术的临床疗效及经验总结[J]. 中华消化外科杂志2017, 16(8): 860-864.
18
刘荣. 肝脏流域划分及靶域切除手术分级[J/OL]. 中华腔镜外科杂志(电子版), 2023, 16(3):131-134.
19
姚小晓,盛基尧,张学文. 重视Laennec包膜在解剖性肝切除中的应用[J]. 国际外科学杂志2022, 49(4): 228-231,F3.
20
陈超波,余德才. 腹腔镜解剖性肝切除的关键点线面[J/OL]. 中华腔镜外科杂志(电子版), 2024, 17(6):321-328.
21
余德才,曹亚娟,张来柱. 腹腔镜解剖性右半肝切除治疗进展期肝细胞肝癌(Laennec入路联合背侧入路)[J/OL]. 中华腔镜外科杂志(电子版), 2021, 14(4):235-236.
22
Weeda VB, Murawski M, McCabe AJ, et al. Fibrolamellar variant of hepatocellular carcinoma does not have a better survival than conventional hepatocellular carcinoma--results and treatment recommendations from the Childhood Liver Tumour Strategy Group (SIOPEL) experience[J]. Eur J Cancer, 2013, 49(12):2698-2704.
23
Gottlieb S, O′Grady C, Gliksberg A, et al. Early experiences with triple immunochemotherapy in adolescents and young adults with high-risk fibrolamellar carcinoma[J]. Oncology, 2021, 99(5):310-317.
24
Kim AK, Gani F, Layman AJ, et al. Multiple immune-suppressive mechanisms in fibrolamellar carcinoma[J]. Cancer Immunol Res, 2019, 7(5):805-812.
25
Abou-Alfa GK, Mayer R, Venook AP, et al. Phase II multicenter, open-label study of oral ENMD-2076 for the treatment of patients with advanced fibrolamellar carcinoma[J]. Oncologist, 2020, 25(12):e1837-e1845.
26
Abou-Alfa GK, Meyer T, Do RKG, et al. Neratinib alone or in combination with immune checkpoint inhibitors with or without mammalian target of rapamycin inhibitors in patients with fibrolamellar carcinoma[J]. Liver Cancer, 2024, 14(1):58-67.
27
Honeyman JN, Simon EP, Robine N, et al. Detection of a recurrent DNAJB1-PRKACA chimeric transcript in fibrolamellar hepatocellular carcinoma[J]. Science, 2014, 343(6174):1010-1014.
28
Simon EP, Freije CA, Farber BA, et al. Transcriptomic characterization of fibrolamellar hepatocellular carcinoma[J]. Proc Natl Acad Sci U S A, 2015, 112(44):E5916-E5925.
29
Neumayer C, Ng D, Requena D, et al. GalNAc-conjugated siRNA targeting the DNAJB1-PRKACA fusion junction in fibrolamellar hepatocellular carcinoma[J]. Mol Ther, 2024, 32(1):140-151.
30
Bauer J, Köhler N, Maringer Y, et al. The oncogenic fusion protein DNAJB1-PRKACA can be specifically targeted by peptide-based immunotherapy in fibrolamellar hepatocellular carcinoma[J]. Nat Commun, 2022, 13(1):6401.
31
Hackenbruch C, Bauer J, Heitmann JS, et al. FusionVAC22_01: a phase I clinical trial evaluating a DNAJB1-PRKACA fusion transcript-based peptide vaccine combined with immune checkpoint inhibition for fibrolamellar hepatocellular carcinoma and other tumor entities carrying the oncogenic driver fusion[J]. Front Oncol, 2024, 14:1367450.
32
Squires RH, Ng V, Romero R, et al. Evaluation of the pediatric patient for liver transplantation: 2014 practice guideline by the American Association for the Study of Liver Diseases, American Society of Transplantation and the North American Society for Pediatric Gastroenterology, Hepatology and Nutrition[J]. Hepatology, 2014, 60(1):362-398.
[1] 张翊乔, 李梦伊, 刘洋, 张鹏, 张忠涛. 我国腹腔镜减重代谢手术治疗现状与未来[J/OL]. 中华普外科手术学杂志(电子版), 2026, 20(01): 1-4.
[2] 刘慧, 袁野. 右侧前入路与左侧后入路腹腔镜根治术治疗局部进展期胃癌的对比研究[J/OL]. 中华普外科手术学杂志(电子版), 2026, 20(01): 14-17.
[3] 康星, 俞杭, 单晓东, 孙喜太, 褚薛慧. 单孔腹腔镜袖状胃切除术围手术期血液管理措施的比较研究[J/OL]. 中华普外科手术学杂志(电子版), 2026, 20(01): 18-21.
[4] 王博申, 陈超武, 刘祺. 头侧-尾侧-中间入路腹腔镜全系膜切除术治疗右半结肠癌的临床研究[J/OL]. 中华普外科手术学杂志(电子版), 2026, 20(01): 26-29.
[5] 张升涛, 丁敬健, 刘洋, 郭永锋, 祁亚斌, 李亚俊. 回字型右下入路与常规中间入路腹腔镜根治术治疗右半结肠癌近中期随访比较[J/OL]. 中华普外科手术学杂志(电子版), 2026, 20(01): 30-33.
[6] 沈振, 周岩. 中间尾侧联合入路腹腔镜系膜切除对右半结肠癌并肠梗阻患者炎症与应激反应的影响[J/OL]. 中华普外科手术学杂志(电子版), 2026, 20(01): 34-37.
[7] 许舜, 汪瀚, 胡涛, 钱梦佳, 崔一尧, 陈信浩. 两种术式治疗胆总管中下段结石合并急性胆管炎患者疗效及预后比较[J/OL]. 中华普外科手术学杂志(电子版), 2026, 20(01): 38-41.
[8] 吴鹏, 许维, 郑世海, 宋劲松. 脾静脉近端结扎在腹腔镜脾切除术后预防门静脉血栓形成的疗效分析[J/OL]. 中华普外科手术学杂志(电子版), 2026, 20(01): 59-62.
[9] 李瑞, 陈文浩, 徐镇, 蒋维荣, 李志文, 侯以森, 孟勇. 3D打印解剖模型联合腹腔镜手术视频在腹腔镜肝切除术临床教学的应用研究[J/OL]. 中华普外科手术学杂志(电子版), 2026, 20(01): 63-66.
[10] 魏平, 赵鑫, 田广健. 腹腔镜下置入IPST专用疝补片并开放原位造口重建治疗造口旁疝疗效分析(附52例报告)[J/OL]. 中华普外科手术学杂志(电子版), 2026, 20(01): 67-70.
[11] 李志军, 李宏伟, 吕瑞昌, 黄勇, 尚培中, 李晓武. 腹腔镜脾部分切除治疗脾脏硬化性血管瘤样结节性转化一例并文献复习[J/OL]. 中华普外科手术学杂志(电子版), 2026, 20(01): 75-77.
[12] 李晓英, 金芳, 张润萍, 陈晓丽, 庞粉萍, 翟佳琪, 王兰, 尚培中. 3D腹腔镜切除Hartmann术后远端残留直肠再发癌一例报道[J/OL]. 中华普外科手术学杂志(电子版), 2026, 20(01): 99-100.
[13] 田义阳, 李涵, 胡渫枫, 胡显辉, 秦鑫, 蒋理海, 解致远, 李代春, 尹勇. 两种单层面法在后腹腔镜肾上腺肿瘤切除术的应用比较[J/OL]. 中华腔镜泌尿外科杂志(电子版), 2026, 20(01): 77-83.
[14] 阙园, 赵增江, 郑潇, 黄从云, 欧阳再兴, 刘文瑛. 头戴式裸眼3D腔镜显示系统在腹腔镜肝切除术中的应用[J/OL]. 中华肝脏外科手术学电子杂志, 2026, 15(01): 59-65.
[15] 南博, 拜云虎, 吴菲菲, 杨雁灵. 高温湿凝止血在腹腔镜脾部分切除术治疗脾脏良性病变中的安全性及有效性[J/OL]. 中华肝脏外科手术学电子杂志, 2026, 15(01): 101-107.
阅读次数
全文


摘要


AI


AI小编
你好!我是《中华医学电子期刊资源库》AI小编,有什么可以帮您的吗?