切换至 "中华医学电子期刊资源库"

中华腔镜外科杂志(电子版) ›› 2025, Vol. 18 ›› Issue (06) : 369 -373. doi: 10.3877/cma.j.issn.1674-6899.2025.06.008

论著

腹腔镜联合超声在特发性腹膜后纤维化的临床诊疗应用分析
马志刚, 李玉鹏, 玉苏甫卡迪尔·麦麦提尼加提, 梁建豪, 马超, 张杰, 孟塬, 陈雄()   
  1. 830000 新疆维吾尔自治区人民医院肝胆胰医学诊疗中心
  • 收稿日期:2025-10-20 出版日期:2025-12-30
  • 通信作者: 陈雄
  • 基金资助:
    新疆维吾尔自治区科技支疆项目(2022E02133)

The application of laparoscopy combined with ultrasound in the diagnosis and treatment of idiopathic retroperitoneal fibrosis

Zhigang Ma, Yupeng Li, Maimaitinijati YusufuKadir, Jianhao Liang, Chao Ma, Jie Zhang, Yuan Meng, Xiong Chen()   

  1. Hepatobiliary Surgery, People′s Hospital of Xinjiang Uygur Autonomous Region, Urumqi 830000, China
  • Received:2025-10-20 Published:2025-12-30
  • Corresponding author: Xiong Chen
引用本文:

马志刚, 李玉鹏, 玉苏甫卡迪尔·麦麦提尼加提, 梁建豪, 马超, 张杰, 孟塬, 陈雄. 腹腔镜联合超声在特发性腹膜后纤维化的临床诊疗应用分析[J/OL]. 中华腔镜外科杂志(电子版), 2025, 18(06): 369-373.

Zhigang Ma, Yupeng Li, Maimaitinijati YusufuKadir, Jianhao Liang, Chao Ma, Jie Zhang, Yuan Meng, Xiong Chen. The application of laparoscopy combined with ultrasound in the diagnosis and treatment of idiopathic retroperitoneal fibrosis[J/OL]. Chinese Journal of Laparoscopic Surgery(Electronic Edition), 2025, 18(06): 369-373.

目的

探讨腹腔镜联合超声技术在特发性腹膜后纤维化中的诊断价值,总结分析该病临床诊治特点。

方法

收集2021年1月至2024年12月于新疆维吾尔自治区人民医院就诊的11例病理确诊为特发性腹膜后纤维化患者临床资料,回顾性分析其临床表现、实验室检查、影像学检查特点,详细阐述应用腹腔镜联合超声技术获得病理诊断的方法。

结果

11例患者平均年龄53.3±7.6岁,男7例,女4例,临床不适以腹部、腰部疼痛为主(8/11),中位病程5(3,11)个月,CT或MRI检查提示腹膜后软组织密度影,但无法明确诊断(0/11)。11例患者均行腹腔镜联合超声引导下腹膜后肿物活检获得病理组织,确诊为特发性腹膜后纤维化。治疗方案为泼尼松+他莫西芬+吗替唛考吩酯,均获得随访,中位随访时间为21(13.5,27)个月,病灶显著缩小,诊疗有效。

结论

特发性膜后纤维化临床表现及血液检验无特异性,影像学确定诊断率低,与腹膜后肿瘤鉴别诊断困难。腹腔镜联合超声引导技术可获得病理组织,达到确诊目的,有效避免漏诊、误诊,手术创伤小,安全有效。

Objective

To investigate the diagnostic value of laparoscopy combined with ultrasound technology in idiopathic retroperitoneal fibrosis(IRF) and summarize the clinical diagnostic and therapeutic characteristics of this disease.

Methods

Clinical data from 11 patients with pathologically confirmed IRF were collected. A retrospective analysis was conducted on their clinical manifestations, laboratory tests, and imaging features, with a detailed description of the method for obtaining pathological diagnosis using laparoscopy combined with ultrasound technology.

Results

The 11 patients had a mean age of 53.3±7.6 years, comprising 7 males and 4 females. The predominant clinical symptoms were abdominal and lumbar pain(8/11). The median disease duration was 5(3, 11) months. CT or MRI revealed a retroperitoneal soft tissue density, yet the diagnosis remained indeterminate (0/11). All 11 patients underwent laparoscopy combined with ultrasound-guided biopsy of retroperitoneal masses, which confirmed IRF. The treatment regimen included prednisone + tamoxifen + mycophenolate mofetil. All patients were followed up for a median duration of 21(13.5, 27) months, showing significant reduction in lesion size and effective treatment outcomes.

Conclusion

IRF presents with non-specific clinical manifestations and blood test results, and has a low diagnostic confirmation rate by imaging, making differential diagnosis from retroperitoneal tumors challenging. Laparoscopy combined with ultrasound-guided technology enables the acquisition of pathological tissue for definitive diagnosis, effectively avoiding missed or misdiagnoses, with minimal surgical trauma and proven safety and efficacy.

图1 A. IRPF首诊时增强CT表现;B.治疗12个月复查CT,可见病灶显著缩小(箭头处为病灶)
图2 腹腔镜活检术trocar孔布局
图3 腹腔镜下切取病理组织,箭头处为IRPF病灶,三角形处为肠系膜及后腹膜组织
图4 箭头处为腹腔镜超声下IRPF病灶,三角形处为腹主动脉
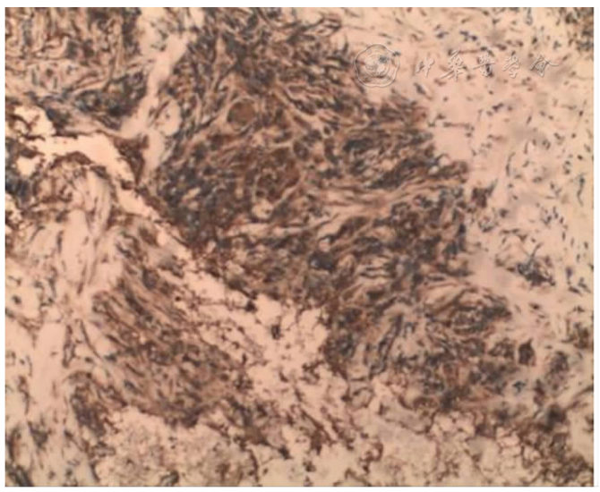
图5 腹膜后肿物:脂肪纤维结缔组织,淋巴细胞、浆细胞浸润,间质纤维组织增生伴胶原变性,血管扩张充血
1
Vaglio A, Salvarani C, Buzio C. Retroperitoneal fibrosis[J]. Lancet, 2006367(9506):241-251.
2
陈亚晗,曹倩,万钰磊,等.腹膜后纤维化CT误诊原因分析[J].临床误诊误治2023, 36(3):1-5.
3
Corradi D, Maestri R, Palmisano A, et al. Idiopathic retroperitoneal fibrosis: clinicopathologic features and differential diagnosis[J]. Kidney Int, 2007, 72(6):742-753.
4
Martorana D, Vaglio A, Greco P, et al. Chronic periaortitis and HLA-DRB1*03: another clue to an autoimmune origin[J]. Arthritis Rheum, 2006, 55(1):126-130.
5
Martorana D, Márquez A, Carmona FD, et al. A large-scale genetic analysis reveals an autoimmune origin of idiopathic retroperitoneal fibrosis[J]. J Allergy Clin Immunol, 2018, 142(5):1662-1665.
6
Nakajo M, Jinnouchi S, Tanabe H, et al. 18F-fluorodeoxyglucose positron emission tomography features of idiopathic retroperitoneal fibrosis[J]. J Comput Assist Tomogr, 2007, 31(4):539-543.
7
Liao S, Wang Y, Li K, et al. Idiopathic retroperitoneal fibrosis: a cross-sectional study of 142 Chinese patients[J]. Scand J Rheumatol, 2018, 47(3):198-205.
8
Al-Hammouri FA, Khori FA, Abu Qamar AA, et al. Management of Idiopathic Retroperitoneal Fibrosis, a Retrospective Study at Prince Hussein Urology and Organ transplantation center (PHUO), Jordan[J]. Iran J Kidney Dis, 2019, 13(4):251-256.
9
Urban ML, Palmisano A, Nicastro M, et al. Idiopathic and secondary forms of retroperitoneal fibrosis: a diagnostic approach[J]. Rev Med Interne, 2015, 36(1):15-21.
10
Suwathep P, Khan A, Husein R, et al. Retroperitoneal fibrosis-the long and winding path[J]. BJR Case Rep, 2020, 6(2):20190086.
11
Mufarrij PW, Stifelman MD. Robotic ureterolysis, retroperitoneal biopsy, and omental wrap for the treatment of ureteral obstruction due to idiopathic retroperitoneal fibrosis[J]. Rev Urol, 2006, 8(4):226-230.
12
Zhao J, Li J, Zhang Z. Long-term outcomes and predictors of a large cohort of idiopathic retroperitoneal fibrosis patients: a retrospective study[J]. Scand J Rheumatol, 2019, 48(3):239-245.
13
Laroche AS, Bell RZ, Bezzaoucha S, et al. Retroperitoneal fibrosis: retrospective descriptive study on clinical features and management[J]. Res Rep Urol, 2016, 8:175-179.
14
Fry AC, Singh S, Gunda SS, et al. Successful use of steroids and ureteric stents in 24 patients with idiopathic retroperitoneal fibrosis: a retrospective study[J]. Nephron Clin Pract, 2008, 108(3):c213-c220.
15
李昶田,赵毅,安力春. 肝胆胰外科医师腹腔镜术中超声培训的经验和体会[J/OL]. 中华腔镜外科杂志(电子版), 2022, 15(03): 145-147.
16
Roussel E, Callemeyn J, Van Moerkercke W. Standardized approach to idiopathic retroperitoneal fibrosis: a comprehensive review of the literature[J]. Acta Clin Belg, 2020, 75(4):239-244.
17
Runowska M, Majewski D, Puszczewicz M. Retroperitoneal fibrosis-the state-of-the-art[J]. Reumatologia, 2016, 54(5):256-263.
18
Takuma K, Kamisawa T, Gopalakrishna R, et al. Strategy to differentiate autoimmune pancreatitis from pancreas cancer[J]. World J Gastroenterol, 2012, 18(10):1015-1020.
[1] 张翊乔, 李梦伊, 刘洋, 张鹏, 张忠涛. 我国腹腔镜减重代谢手术治疗现状与未来[J/OL]. 中华普外科手术学杂志(电子版), 2026, 20(01): 1-4.
[2] 刘慧, 袁野. 右侧前入路与左侧后入路腹腔镜根治术治疗局部进展期胃癌的对比研究[J/OL]. 中华普外科手术学杂志(电子版), 2026, 20(01): 14-17.
[3] 康星, 俞杭, 单晓东, 孙喜太, 褚薛慧. 单孔腹腔镜袖状胃切除术围手术期血液管理措施的比较研究[J/OL]. 中华普外科手术学杂志(电子版), 2026, 20(01): 18-21.
[4] 王博申, 陈超武, 刘祺. 头侧-尾侧-中间入路腹腔镜全系膜切除术治疗右半结肠癌的临床研究[J/OL]. 中华普外科手术学杂志(电子版), 2026, 20(01): 26-29.
[5] 张升涛, 丁敬健, 刘洋, 郭永锋, 祁亚斌, 李亚俊. 回字型右下入路与常规中间入路腹腔镜根治术治疗右半结肠癌近中期随访比较[J/OL]. 中华普外科手术学杂志(电子版), 2026, 20(01): 30-33.
[6] 沈振, 周岩. 中间尾侧联合入路腹腔镜系膜切除对右半结肠癌并肠梗阻患者炎症与应激反应的影响[J/OL]. 中华普外科手术学杂志(电子版), 2026, 20(01): 34-37.
[7] 许舜, 汪瀚, 胡涛, 钱梦佳, 崔一尧, 陈信浩. 两种术式治疗胆总管中下段结石合并急性胆管炎患者疗效及预后比较[J/OL]. 中华普外科手术学杂志(电子版), 2026, 20(01): 38-41.
[8] 吴鹏, 许维, 郑世海, 宋劲松. 脾静脉近端结扎在腹腔镜脾切除术后预防门静脉血栓形成的疗效分析[J/OL]. 中华普外科手术学杂志(电子版), 2026, 20(01): 59-62.
[9] 李瑞, 陈文浩, 徐镇, 蒋维荣, 李志文, 侯以森, 孟勇. 3D打印解剖模型联合腹腔镜手术视频在腹腔镜肝切除术临床教学的应用研究[J/OL]. 中华普外科手术学杂志(电子版), 2026, 20(01): 63-66.
[10] 魏平, 赵鑫, 田广健. 腹腔镜下置入IPST专用疝补片并开放原位造口重建治疗造口旁疝疗效分析(附52例报告)[J/OL]. 中华普外科手术学杂志(电子版), 2026, 20(01): 67-70.
[11] 李志军, 李宏伟, 吕瑞昌, 黄勇, 尚培中, 李晓武. 腹腔镜脾部分切除治疗脾脏硬化性血管瘤样结节性转化一例并文献复习[J/OL]. 中华普外科手术学杂志(电子版), 2026, 20(01): 75-77.
[12] 李晓英, 金芳, 张润萍, 陈晓丽, 庞粉萍, 翟佳琪, 王兰, 尚培中. 3D腹腔镜切除Hartmann术后远端残留直肠再发癌一例报道[J/OL]. 中华普外科手术学杂志(电子版), 2026, 20(01): 99-100.
[13] 田义阳, 李涵, 胡渫枫, 胡显辉, 秦鑫, 蒋理海, 解致远, 李代春, 尹勇. 两种单层面法在后腹腔镜肾上腺肿瘤切除术的应用比较[J/OL]. 中华腔镜泌尿外科杂志(电子版), 2026, 20(01): 77-83.
[14] 阙园, 赵增江, 郑潇, 黄从云, 欧阳再兴, 刘文瑛. 头戴式裸眼3D腔镜显示系统在腹腔镜肝切除术中的应用[J/OL]. 中华肝脏外科手术学电子杂志, 2026, 15(01): 59-65.
[15] 南博, 拜云虎, 吴菲菲, 杨雁灵. 高温湿凝止血在腹腔镜脾部分切除术治疗脾脏良性病变中的安全性及有效性[J/OL]. 中华肝脏外科手术学电子杂志, 2026, 15(01): 101-107.
阅读次数
全文


摘要


AI


AI小编
你好!我是《中华医学电子期刊资源库》AI小编,有什么可以帮您的吗?