切换至 "中华医学电子期刊资源库"

中华腔镜外科杂志(电子版) ›› 2025, Vol. 18 ›› Issue (06) : 354 -360. doi: 10.3877/cma.j.issn.1674-6899.2025.06.006

论著

宫腔镜电切手术治疗FIGO 3型子宫肌瘤临床分析
贺媛媛1, 琚伶俐2, 王运萍1, 金艺华1, 李玲霞1, 柏璐1, 卓娜1, 魏莉1,()   
  1. 1710032 西安,空军军医大学第一附属医院(西京医院)
    2410003 长沙,联勤保障部队第九二一医院
  • 收稿日期:2025-11-26 出版日期:2025-12-30
  • 通信作者: 魏莉

Clinical evaluation of hysteroscopic myomectomy with electrosection for FIGO type 3 uterine fibroids

Yuanyuan He1, Lingli Ju2, Yunping Wang1, Yihua Jin1, Lingxia Li1, Lu Bai1, Na Zhuo1, Li Wei1,()   

  1. 1XiJing Hospital, Air Force Medical University, Xi ′an 710032, China
    2The 921st Hospital of the Logistic Support Force, Changsha 410003, China
  • Received:2025-11-26 Published:2025-12-30
  • Corresponding author: Li Wei
引用本文:

贺媛媛, 琚伶俐, 王运萍, 金艺华, 李玲霞, 柏璐, 卓娜, 魏莉. 宫腔镜电切手术治疗FIGO 3型子宫肌瘤临床分析[J/OL]. 中华腔镜外科杂志(电子版), 2025, 18(06): 354-360.

Yuanyuan He, Lingli Ju, Yunping Wang, Yihua Jin, Lingxia Li, Lu Bai, Na Zhuo, Li Wei. Clinical evaluation of hysteroscopic myomectomy with electrosection for FIGO type 3 uterine fibroids[J/OL]. Chinese Journal of Laparoscopic Surgery(Electronic Edition), 2025, 18(06): 354-360.

目的

探讨宫腔镜子宫肌瘤切除术(transcervical resection of myoma,TCRM)治疗国际妇产科联盟(International Federation of Gynecology and Obstetrics,FIGO) 3型子宫肌瘤的可行性、安全性及临床疗效。

方法

回顾性分析2021年2月至2024年2月于空军军医大学第一附属医院(西京医院)收治的42例单发FIGO 3型子宫肌瘤患者的临床资料。记录患者围手术期情况、手术并发症、月经改善情况及术后生育结局。

结果

42例患者平均年龄34.3±5.1岁,肌瘤平均直径4.6±1.8 cm。手术一次成功率为85.7%(36/42),平均手术时间43±18 min,平均术中出血量26±16 ml。术后瘤腔距子宫浆膜层最短距离由术前的3.1±1.3 mm显著增加至8.4±1.5 mm。所有患者均未发生子宫穿孔、大出血等严重并发症。术前月经量增多者35例,术后治愈率80.0%(28/35),总有效率97.1%(34/35)。28例有生育需求的患者术后平均随访16.2±7.3个月,1年内妊娠率达78.5%(22/28),已分娩17例(阴道分娩11例,剖宫产6例),无1例子宫破裂发生。

结论

对于FIGO 3型子宫肌瘤,由经验丰富的医师在超声监护下实施宫腔镜电切术是一种安全、有效的微创治疗方式,能显著改善月经症状,并获得良好的生殖预后。

Objective

To investigate the feasibility, safety, and clinical efficacy of transcervical resection of myoma (TCRM) in the management of International Federation of Gynecology and Obstetrics(FIGO) type 3 uterine fibroids.

Methods

A retrospective analysis was conducted on the clinical data of 42 patients with solitary FIGO type 3 uterine fibroids treated at XiJing Hospital, Air Force Medical University between Feb. 2021 and Feb. 2024. Perioperative parameters, surgical complications, improvement in menstrual symptoms, and postoperative reproductive outcomes were recorded and analyzed.

Results

The mean age of the 42 patients was 34.3±5.1 years, with a mean fibroid diameter of 4.6±1.8 cm. The primary procedure success rate was 85.7%(36/42). The mean operative time was 43±18 minutes, and the mean intraoperative blood loss was 26±16 ml. The shortest distance from the tumor cavity to the uterine serosa significantly increased from 3.1±1.3 mm preoperatively to 8.4±1.5 mm postoperatively. No severe complications, such as uterine perforation or major hemorrhage, occurred. Among the 35 patients with preoperative menorrhagia, the cure rate was 80.0%(28/35), resulting in a total effective rate of 97.1%(34/35). Among the 28 patients with fertility desires, the average follow-up duration was 16.2±7.3 months. The pregnancy rate within one year postoperatively was 78.5%(22/28). Seventeen patients have delivered (11 vaginal deliveries and 6 cesarean sections), with no cases of uterine rupture reported.

Conclusion

For FIGO type 3 uterine fibroids, hysteroscopic resection performed by experienced surgeons under ultrasonographic guidance is a safe and effective minimally invasive treatment. It significantly ameliorates menstrual symptoms and is associated with favorable reproductive outcomes.

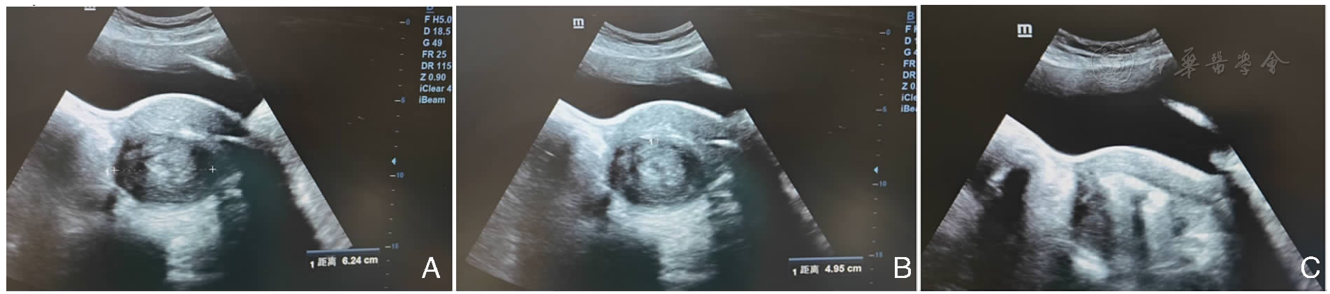
图1 3型子宫肌瘤的宫腔镜术中超声监测注:A.子宫后壁肌瘤 长6.24 cm; B.子宫后壁肌瘤 宽4.95 cm;C.宫腔镜术中肌瘤切除术后,显露瘤腔
图2 宫腔镜下3型子宫肌瘤切除术中图像注:A.为宫腔后壁多发子宫内膜息肉;B.宫腔后壁去除息肉后,宫壁平整;C.宫颈注射缩宫素后,后壁3型肌瘤微突;D.宫腔镜电切3型肌瘤开窗后,肌瘤涌出(红色箭头指示肌瘤);E、F.为宫腔镜电切3型肌瘤后显露宫腔与瘤腔(蓝色箭头指示宫腔;绿色箭头指示瘤腔)
表1 42例FIGO 3型子宫肌瘤患者的临床特征
图3 FIGO子宫肌瘤9型分类方法示意图[2,17]注:0:0型(有蒂黏膜下肌瘤);1:1型(无蒂黏膜下肌瘤,向肌层扩展≤50%);2:2型(无蒂黏膜下肌瘤,向肌层扩展>50%);3:3型(肌壁间肌瘤,位置靠近宫腔,瘤体外缘距子宫浆膜层≥5 mm);4:4型(肌壁间肌瘤,位置靠近子宫浆膜层,瘤体外缘距子宫浆膜层<5 mm);5:5型(肌瘤贯穿全部子宫肌层);6:6型(肌瘤突向浆膜);7:7型(肌瘤完全位于浆膜下,有蒂);8:8型(其他特殊类型或部位的肌瘤,子宫颈肌瘤)
1
Yang 0, Ciebiera M, Bariani MV, et al. Comprehensive review of uterine fibroids:developmental origin, pathogenesis, and treatment[J]. Endocr Rev, 202243(4):678-719.
2
Munro MG, Critchley HO, Fraser IS, et al. The FIGO classification of causes of abnormal uterine bleeding in the reproductive years[J]. Fertil Steril, 2011, 95(7):2204-2208, 2208.e1-3.
3
Rikhraj K, Tan J, Taskin O, et al. The impact of noncavity-distorting intramural fibroids on live birth rate in in vitro fertilization cycles: a systematic review and meta-analysis[J]. J Womens Health (Larchmt), 2020, 29(2):210-219.
4
Munro MG, Critchley HOD, Fraser IS, et al. The two FIGO systems for normal and abnormal uterine bleeding symptoms and classification of causes of abnormal uterine bleeding in the reproductive years: 2018 revisions[J]. Int J Gynaecol Obstet, 2018, 143(3):393-408.
5
Laughlin-Tommaso SK, Hesley GK, Hopkins MR, et al. Clinical limitations of the International Federation of Gynecology and Obstetrics (FIGO) classification of uterine fibroids[J]. Int J Gynaecol Obstet, 2017, 139(2):143-148.
6
陈丽梅,张宏伟,谢俣,等. FIGO 3型子宫肌瘤经宫腔镜电切手术的临床探索研究[J].中华妇产科杂志2022, 57(10):746-752.
7
Favilli A, Mazzon I, Etrusco A, et al. The challenge of FIGO type 3 leiomyomas and infertility: exploring therapeutic alternatives amidst limited scientific certainties[J]. Int J Gynaecol Obstet, 2024, 165(3):975-987.
8
Governini L, Marrocco C, Semplici B, et al. Extracellular matrix remodeling and inflammatory pathway in human endometrium: insights from uterine leiomyomas[J]. Fertil Steril, 2021, 116(5):1404-1414.
9
Bai X, Lin Y, Chen Y, et al. The impact of FIGO type 3 fibroids on in-vitro fertilization outcomes: a nested retrospective case-control study[J]. Eur J Obstet Gynecol Reprod Biol, 2020, 247:176-180.
10
Erden M, Uyanik E, Polat M, et al. The effect of ≤6 cm sized noncavity-distorting intramural fibroids on in?vitro fertilization outcomes: a systematic review and meta-analysis[J]. Fertil Steril, 2023, 119(6):996-1007.
11
Han Y, Yao R, Zhang Y, et al. Hysteroscopic resection of type 3 fibroids could improve the pregnancy outcomes in infertile women: a case-control study[J]. BMC Pregnancy Childbirth, 2022, 22(1):522.
12
Capmas P, Voulgaropoulos A, Legendre G, et al. Hysteroscopic resection of type 3 myoma: a new challenge[J]. Eur J Obstet Gynecol Reprod Biol, 2016, 205:165-169.
13
黄睿,黄晓武,夏恩兰,等. 宫腔镜下3型子宫肌瘤切除术可行性及生殖预后分析[J].国际生殖健康/计划生育杂志2018, 37(1):24-28.
14
Etrusco A, Laganà AS, Chiantera V, et al. Feasibility and surgical outcomes of hysteroscopic myomectomy of FIGO type 3 myoma: a systematic review[J]. J Clin Med, 2023, 12(15):4953.
15
郝敏,王文静. 腹腔镜子宫肌瘤剔除术与孕期子宫破裂的相关问题[J/OL]. 中华腔镜外科杂志(电子版), 2017, 10(5):300-303.
16
Tinelli A, Favilli A, Lasmar RB, et al. The importance of pseudocapsule preservation during hysteroscopic myomectomy[J]. Eur J Obstet Gynecol Reprod Biol, 2019, 243:179-184.
17
魏莉,张浩,谭欣,等. 《宫腔镜下子宫肌瘤去除术管理规范》团体标准的解读[J/OL]. 中华腔镜外科杂志(电子版), 2024, 17(4):199-204.
18
Bettocchi S, Di Spiezio Sardo A, Ceci O, et al. A new hysteroscopic technique for the preparation of partially intramural myomas in office setting (OPPIuM technique): a pilot study[J]. J Minim Invasive Gynecol, 2009, 16(6):748-754.
19
Loddo A, Djokovic D, Drizi A, et al. Hysteroscopic myomectomy: the guidelines of the International Society for Gynecologic Endoscopy (ISGE)[J]. Eur J Obstet Gynecol Reprod Biol, 2022, 268:121-128.
[1] 范风云, 吴晓东, 沈婉婷, 吴美琪, 于娜, 徐梦婷, 秦佳乐. 基于超声参数的延胡索酸水合酶缺陷型子宫平滑肌瘤预测模型的建立[J/OL]. 中华医学超声杂志(电子版), 2025, 22(09): 868-875.
[2] 庄蕙嘉, 岳志成, 钟坤岑, 朱慧莉. 乳腺癌患者生育力保存的研究进展[J/OL]. 中华乳腺病杂志(电子版), 2023, 17(04): 238-242.
[3] 王秋毅, 黄薇. 妇科恶性肿瘤年轻患者生育力保存的临床实践与挑战[J/OL]. 中华妇幼临床医学杂志(电子版), 2025, 21(03): 266-270.
[4] 王茹倩, 罗红, 曹威特. 子宫血管周上皮细胞瘤诊疗的研究现状[J/OL]. 中华妇幼临床医学杂志(电子版), 2025, 21(02): 151-156.
[5] 曾凡英, 阮洁, 刘兴会, 何国琳. 新生育形势下的围产医学研究现状及孕期保健中的应对策略[J/OL]. 中华妇幼临床医学杂志(电子版), 2024, 20(05): 519-524.
[6] 邵小丽, 林燕, 张玲玲, 韩亚琴. 超声引导下子宫肌瘤注射聚桂醇硬化术联合术后米非司酮治疗临床疗效分析[J/OL]. 中华妇幼临床医学杂志(电子版), 2024, 20(03): 353-360.
[7] 周梦玲, 薛志伟, 周淑. 妊娠合并子宫肌瘤的孕期变化及其与不良妊娠结局的关系[J/OL]. 中华妇幼临床医学杂志(电子版), 2023, 19(05): 611-615.
[8] 李俊涛, 刘贵华, 何子勤, 马朦惠, 赵阳杰, 肖楚天, 张翼飞, 颜禄斌, 梁晓燕, 王德娟. 单侧睾丸部分切除术在青春期前男孩生育力保存中的应用探索[J/OL]. 中华腔镜泌尿外科杂志(电子版), 2025, 19(06): 759-764.
[9] 王楠, 李立安, 马鑫, 翟青枝, 王铭洋, 孟元光. 机器人手术多学科协作治疗静脉内平滑肌瘤病[J/OL]. 中华腔镜外科杂志(电子版), 2025, 18(02): 125-128.
[10] 周树林, 姜旖, 邱江南, 吴姗, 罗成燕, 袁琳, 程文俊. 经脐单孔腹腔镜全子宫双输卵管切除术[J/OL]. 中华腔镜外科杂志(电子版), 2024, 17(01): 58-61.
[11] 陈园园, 颜宏利. 遗传性结直肠癌的基因阻断[J/OL]. 中华结直肠疾病电子杂志, 2024, 13(01): 1-5.
[12] 祁明花, 宋善兰, 俞丕超, 祁雁凌. 宫腔镜电切术联合生化汤加减治疗子宫内膜息肉的疗效及对短期复发的影响[J/OL]. 中华临床医师杂志(电子版), 2023, 17(02): 171-175.
[13] 吴文诗, 魏宋荃, 李桂民, 郑晓芳, 孙雯, 陈敦金, 余琳. 胎盘植入性疾病患者行子宫部分切除术后再次妊娠的临床研究[J/OL]. 中华产科急救电子杂志, 2023, 12(03): 180-186.
[14] 张茜茹, 袁迎雪, 曹智新. 巨大多房囊性子宫平滑肌瘤的诊断学特征并文献复习[J/OL]. 中华诊断学电子杂志, 2025, 13(01): 32-37.
[15] 李鸿睿, 胡海清. 上消化道平滑肌瘤内镜下治疗的研究进展[J/OL]. 中华胃肠内镜电子杂志, 2024, 11(04): 259-262.
阅读次数
全文


摘要


AI


AI小编
你好!我是《中华医学电子期刊资源库》AI小编,有什么可以帮您的吗?